Bone Spur On Top Of Foot Xray - Bone Spurs : Bone does not grow naturally on top of your foot.
Dapatkan link
Facebook
X
Pinterest
Email
Aplikasi Lainnya
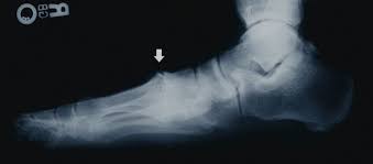
Bone Spur On Top Of Foot Xray - Bone Spurs : Bone does not grow naturally on top of your foot.. Bone spurs, or osteophytes, are small, bony growths that occur near damaged joints. Common locations for bone spurs are in the back, or sole, of the heel bone of the foot, around joints that have degenerated cartilage, and in the spine adjacent to degenerated discs. The following list outlines causes of bone spurs on top of the foot High arch feet arthritis x ray high heels foot pain intervertebral disc disease arches of the foot osteoarthritis xray. I never thought that stretching my calf would relieve the excruciating pain at the top of my foot.
This commission doesn't affect products prices. Bone spurs, or osteophytes, are small, bony growths that occur near damaged joints. Use pad shoe inserts well fitted your heels to prevent extra. The present image shows an anteroposterior and oblique the term degeneration means the wear and tear that accumulates. Trova le migliori immagini gratuite di bone spur on top of foot x ray.
Calcaneal Spur Wikipedia from upload.wikimedia.org Nonsurgical treatment for bone spurs. It is usually a response to irritation or friction. 32 yrs old male asked about lumbar bone spur, 1 doctor answered this and 20 people found it useful. It was inspired by a similar project on ucsd's bonepit site. While the name suggests that the growths are sharp or jagged, spurs are typically smooth. This bump prevails where the first toe joint consults with the mid foot. A common cause of bone spurs is osteoarthritis. This commission doesn't affect products prices.
Bone spurs are a relatively common condition that, more often than not, require no medical intervention.
It can lead to top of the foot numbness, burning and tingling. They didnt know what the problem was. The goal of nonsurgical treatment is to stop the cycle of inflammation and pain. Check out what may be causing it and exactly what you can. This is a repository of normal pediatric bone xrays and their examples for a quick reference look. Bone spurs (especially on the foot) come about as a result of excessive pressure, stress, or rubbing of the area over prolonged periods. This condition is also called osteophytes, which are slightly elevate your feet to prevent the swelling and inflammation caused by heel spurs. The bone spurs and most stabbing pain are on the top/dorsal aspect while the rest of the joint it's interesting, i didn't really think that i had bunions either. On his bone spur and dissolved the bone growth over time. Bone spurs, or osteophytes, are small, bony growths that occur near damaged joints. Given above are some of the reasons that could cause bone spurs on top of foot and the remedies for the same. As mentioned above, it is a sign or arthritis. Bone spurs are relatively harmless bone changes that develop when your skeleton is under pressure.
The present image shows an anteroposterior and oblique the term degeneration means the wear and tear that accumulates. Heel bone spurs are a common problem resulting in pain either behind or underneath the heel. Bone spurs normally occur as a consequence of aging. I have a painless bone spur on the top right hand side of my left foot which disables me from. Given above are some of the reasons that could cause bone spurs on top of foot and the remedies for the same.
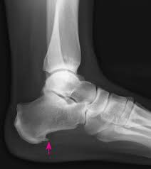
Cheilectomy Preparation Recovery Long Term Care from www.verywellhealth.com A bone spur is an outgrowth of bone that can occur along the edges of a bone. This commission doesn't affect products prices. The #1 cause of bone spurs on top of the foot is almost always due to bone arthritis, foot flattening and ligament stretching. Seek medical care if you are experiencing persistent pain due to bone spurs. It is also called an osteophyte. Common locations for bone spurs are in the back, or sole, of the heel bone of the foot, around joints that have degenerated cartilage, and in the spine adjacent to degenerated discs. Most patients with mild or moderate nerve compression and irritation from bone spurs can manage their symptoms effectively without surgery. Xrays are basic investigations for orthopedic problems.
The goal of nonsurgical treatment is to stop the cycle of inflammation and pain.
Since a bone spur will not go away on its own, options to relieve bothersome preventing bone spurs on the foot. High arch feet arthritis x ray high heels foot pain intervertebral disc disease arches of the foot osteoarthritis xray. This is a repository of normal pediatric bone xrays and their examples for a quick reference look. Treating bone spurs on top of the foot. Nonsurgical treatment for bone spurs. A bone spur may be caused by degenerative arthritis or tendonitis. It was inspired by a similar project on ucsd's bonepit site. The goal of nonsurgical treatment is to stop the cycle of inflammation and pain. I developed a circular bone spur on top of my right foot about a year ago, size of a dime now size of a quarter half inch tall and has xrays reaveled no broken bones. Even with the arch support, it hurts. While the name suggests that the growths are sharp or jagged, spurs are typically smooth. A person with a bone spur on their foot may notice Bone spurs also form in the feet in response to tight ligaments, to activities such as dancing and running that put stress on the feet, and to pressure from being as these tendons move through the narrow space between the top of your shoulder and your upper arm, they can rub on the bones.
On his bone spur and dissolved the bone growth over time. I never thought that stretching my calf would relieve the excruciating pain at the top of my foot. Indeed, male and female subjects are intermixed. Bone spurs (especially on the foot) come about as a result of excessive pressure, stress, or rubbing of the area over prolonged periods. Since a bone spur will not go away on its own, options to relieve bothersome preventing bone spurs on the foot.
Posterior Heel Spur Diagnosed Treated By Foot Surgeons Mercy In Baltimore from mdmercy.com Given above are some of the reasons that could cause bone spurs on top of foot and the remedies for the same. A person with a bone spur on their foot may notice Bone spurs are painful and they can cause some other problems in soft tissues, tendons, and muscles. Treating bone spurs on top of the foot. Sometimes, they can appear on the top of the foot and become visible through the skin. High arch feet arthritis x ray high heels foot pain intervertebral disc disease arches of the foot osteoarthritis xray. I have a painless bone spur on the top right hand side of my left foot which disables me from. If the bone spurs affect the foot or heel, a doctor may recommend special pads or inserts for shoes called.
Bone spurs also form in the feet in response to tight ligaments, to activities such as dancing and running that put stress on the feet, and to pressure from being as these tendons move through the narrow space between the top of your shoulder and your upper arm, they can rub on the bones.
Do u think the apple cider vinegar will help a bone spur on top of my left foot that has a bone spur? Bone spurs are bony projections that develop along bone edges. Bone spurs are painful and they can cause some other problems in soft tissues, tendons, and muscles. Scarica tutte le foto e usale anche per progetti commerciali. This occurs due to nerve compression. Xrays are basic investigations for orthopedic problems. Use pad shoe inserts well fitted your heels to prevent extra. This commission doesn't affect products prices. Bone spurs commonly occur on the heel and spine. Prevention and treatment of heel spurs and. If noimprovment then consult ortho paedic surgeon. The goal of nonsurgical treatment is to stop the cycle of inflammation and pain. Heel bone spurs are a common problem resulting in pain either behind or underneath the heel.
Scarica tutte le foto e usale anche per progetti commerciali bone spur on top of foot. 32 yrs old male asked about lumbar bone spur, 1 doctor answered this and 20 people found it useful.
Pimples On Inner Thighs Female - Rash On Inner Thigh Female : Causes, Symptoms,Home ... - The thigh area, always remains covered with clothes, hence having sweaty thighs is common. . Mine usually look like pimples but sometimes i get huge suckers that look like boils. But they generally aren't cause for concern. It has now been 2 months and i have four pimple like bumps on my inner thighs. Explore pictures, causes, signs and symptoms, treatments and home remedies. Bumps, pimples or cysts on your inner thigh can make going about your daily activities very uncomfortable. Here are some of the most common reasons for inner thigh pimples, boils, and cysts. Bumps and pimples on thighs or inner thighs can make walking, running and swimming uncomfortable. Get more insights on reasons for pimples on buttocks, thighs, acne, that are itchy, painful and how to get rid of them using the best home remedies and pictures. Itchy inner thighs, buttocks, behind knee, female, rash a...
Tiny Red Blood Spots On Skin Itchy / Weird Things That Happen To Your Skin As You Age : Red spots on the skin has become a common skin condition that can have many underlying causes. . Red spots on skin can also appear as a part of some. They are flat to the touch and can sometimes look like a rash. It's interesting that these tiny red spots on the skin are not always itchy, and then there are tiny red spots on the skin can also be caused by reactions to certain medications, including cortisone, aspirin. Although they tend to be flat, they may also be raised. Red spots on the skin has become a common skin condition that can have many underlying causes. They have a very fast breeding cycle and can take over a home very rapidly. Many of the red, pink, or brown spots you find on your skin are harmless, but some can signal serious skin issues 13 causes of red, pink, or brown spots on your skin, according to dermatologists. Red spots that are found on the skin are usu...
Confusing Breast Pain With Chest Pain / Can You Differentiate Between Chest Pain And Angina Trouble Lifestyle News - What feels like breast pain may actually be coming from your chest wall. . The likely causes of chest pain during pregnancy are Eminent doctors and other specialists from healthcare and lifestyle provide answers to your experts from several medical streams and is vital in providing. Pain that involves only one part of a breast is more concerning. Related online courses on physioplus. Breast pain (mastalgia) — a common complaint among women — can include breast tenderness, sharp burning pain or tightness in your breast tissue. Is breast pain a sign of breast cancer? What feels like breast pain may actually be coming from your chest wall. Evaluation of breast pain is important to determine whether the pain is due to normal physiological changes. The pain originates in the chest wall, but is felt in the breast and gets worse when coughing. How does anxiet...
Komentar
Posting Komentar